症例別説明

肩関節脱臼といわれたら。。。

✓肩関節脱臼とは?  スポーツでの転倒や接触、高所から転落した場合など外傷によって生じる怪我のひとつです。肩甲骨の関節窩から上腕骨頭が前下方に脱臼することがほとんどです。

詳しい説明

足関節捻挫(靱帯損傷)といわれたら。。。

✓足関節捻挫はスポーツ選手だけでなく、一般の方にもみられる怪我のひとつです。多くはランニングやジャンプの着地で足関節を内側に捻ることにより、外側の靱帯が伸ばされたり、切れたりすることが原因です。怪我の直後から外くるぶし周辺の腫れと痛み、さらに時間がたつと皮下出血が認められます。

詳しい説明

膝前十字靱帯(ひざぜんじゅうじじんたい)損傷といわれたら。。。

✓膝前十字靱帯(ACL)損傷は、スポーツや日常生活で膝に強いねじれが加わった際に起こる代表的な外傷です。当院では、高度な読影技術と精密なMRI検査を組み合わせることで、体にメスを入れることなく、手術前に靭帯の損傷状態を正確に特定することが可能です。

詳しい説明

変形性股関節症といわれたら。。。

✓​​原因によって大きく「一次性」と「二次性」に分けられます。
・一次性変形性股関節症:原因不明の場合が多いですが、加齢、体重増加、肉体労働、スポーツによる過負荷などが要因とも考えられています。
・二次性変形性股関節症:日本では約70~80%がこれに該当し、臼蓋形成不全(骨盤の凹みが浅い)や関節リウマチ、大腿骨頭壊死、大腿骨頚部骨折などの外傷後などが主な原因とされています。これらの疾患は、股関節の受け皿である寛骨臼の形成が不十分なために、軟骨がすり減りやすくなることで変形性股関節症へ進行します。

詳しい説明

腰椎圧迫骨折といわれたら。。。

✓​​​腰椎圧迫骨折は高齢者で骨が脆い方が受傷しやすい背骨の骨折です。多くは転んで尻もちをつくことが原因で起こりますが、目立った外傷がなくても起こることもあり、”いつの間にか骨折”と呼ばれます。

詳しい説明

変形性ひざ関節症といわれたら。。。

✓​​​​​変形性膝関節症は、加齢によりクッションである軟骨がすり減り、痛みが生じる高齢者に多い疾患です。骨同士が擦れて変形やトゲが生じ、内側の軟骨が減るとO脚化しやすくなります。炎症で膝に水がたまることもあります。

詳しい説明

肩関節脱臼

✓肩関節脱臼とは?  

スポーツでの転倒や接触、高所から転落した場合など外傷によって生じる怪我のひとつです。肩甲骨の関節窩から上腕骨頭が前下方に脱臼することがほとんどです。

✓肩関節脱臼の特徴は? 

肩関節では関節唇という軟骨と靭帯など柔らかい組織が防波堤となって上腕骨頭を安定させていますが、肩を脱臼 すると、これらの組織が骨から剥がれてしまいます(バンカート病変: Bankart lesion)。したがって、一度脱臼して 整復され、治ったと思っていてもちょっとした外傷で再び脱臼することがあるのです。しかも、初回脱臼の年齢が低 ければ低いほど再脱臼する確率は高く、10代では68%、20代で52%、30代で25%、40代以上で17%という報告 がされています。

✓肩関節脱臼の治療は?

当院では初回脱臼時にCTやMRIを撮影し、軟骨が剥れている場合には積極的に手術治療を行い、スポーツへの早期 復帰を目指しています。これは脱臼が整復されていても実は関節唇は剥がれたままであることが多く、再脱臼が高率 に発生しますし、脱臼の回数が多くなればなるほどその後の手術成績が低下することが知られているためです。整骨 院やクリニックで脱臼を整復して固定し、その後通院しなくなると軽微な外傷で数回から数十回も脱臼を繰り返して しまうことになります。

✓手術はどういうものですか?

当院では関節鏡を使用して剥れた関節唇の修復(バンカート修復術: Bankart repair)を行っているため、入院期間も 短く2ー5日程度です。この手術治療によって再脱臼の割合は5%程度まで低下します。入院手術の費用や事前の検査 などお聞きしたいことは電話やホームページからメールでのお問い合わせも承っております。

*肩関節脱臼といわれた場合は一度ご相談ください

足関節捻挫(靱帯損傷)

✓​足関節捻挫とは?  

足関節捻挫の多くはランニングやジャンプの着地で足関節を内側に捻ることによることが原因です。怪我の直後から 外くるぶし周辺の腫れと痛み、さらに時間がたつと皮下出血が認められます。

✓​捻挫の重症度は? 

程度の軽いものから1~3度に分類されます 
1度-靱帯が伸びた状態で繋がっているため痛みも少なく、通常は歩行可能 
2度-靱帯の部分的な断裂であり、完全には損傷されていない 
3度-靱帯は完全に断裂し、2本以上の断裂がみられることもある

正確に靭帯損傷の程度を知るには足関節のストレス撮影が有用です。
これは靭帯に内反ストレスと前方移動ストレスを加えることで靭帯が機能しているかどうかを見る撮影方法です。

✓​捻挫の応急処置、RICEとは?

スポーツの現場では痛みと腫れの軽減のため、また治癒機転を促進するために迅速な処置が必要です。我々はその救急処置をRICEと呼んでいます。(Rest:安静)(Icing:冷却)(Compression:圧迫)(Elevation:挙上)の頭文字をとってRICEです。  怪我をしたらすぐに競技を中断すること(安静)、そして氷のうを利用して患部を冷やすこと(冷却)、次いで弾性のある包帯などを用いて腫れの予防のため圧迫すること(圧迫)、足を下げるとうっ血して腫れがひどくなるため心臓より高く挙げること(挙上)です。 

  ✓​靭帯損傷の治療は?

靱帯損傷の治療には手術と保存治療がありますが、不安定性が強い場合や捻挫が慢性的になりやすい骨形態の場 合、あるいは靱帯が骨ごと剥れている場合は手術を選択します。特に早期にスポーツ復帰を希望するアスリートや早 期に仕事復帰を希望する方には手術治療が適応となります。  当院ではInternalBrace®(Arthrex)という人工靭帯を補強に使用することで自分の靭帯を保護するため、従来よ りも早期に歩行可能(通常術後2週目より1/2荷重からスタート)になっています。

*​足関節靱帯損傷といわれた場合は一度ご相談ください

膝前十字靱帯(ひざぜんじゅうじじんたい)損傷

✓膝前十字靱帯(ひざぜんじゅうじじんたい)損傷(そんしょう)とは?  

スポーツや転んだ時に膝を捻ることで起こりやすい怪我であり、足を引きづりながらも歩行は出来るものの、 病院を受診して“膝に血が貯まってる”といって血を抜かれたら約60~70%は前十字靱帯断裂です

✓​​前十字靱帯は手術をしなければ治りませんか?

前十字靱帯が切れたままでも数日で歩行はできるようになりますが、「膝崩れ」といって膝が“カクン”と抜け るような、あるいは “ずれる”ような感じを経験します。その際半月板や軟骨損傷を生じるため、結果的に手術が 必要になります。手術をしないで数年経過すると10ー20代の若年者でも次第に軟骨がすり減っていき、レントゲ ンで関節症性変化がみられてきます。すり減った軟骨は再生しませんし、痛みの原因になります。

✓前十字靱帯の手術はどのようなものですか?

切れた前十字靱帯は自然に治癒しないため、当院では大腿後面の屈筋腱(ハムストリング)を使用して本来の 2重になっている靱帯を再建する“解剖学的2重束再建術”を2002年より施行し、優れた成績を得ています。手術の 傷は約3ー4cmの傷と1cmの傷が2箇所だけの小さい傷ですみます。術後3日前後でシャワーや入浴が可能です。入 院は5ー7日程度必要ですが、入院期間に関してはご相談下さい。

*前十字靱帯損傷といわれた場合は一度ご相談ください

橈骨遠位端(とうこつえんいたん)骨折

✓​橈骨遠位端(とうこつえんいたん)骨折とは?  

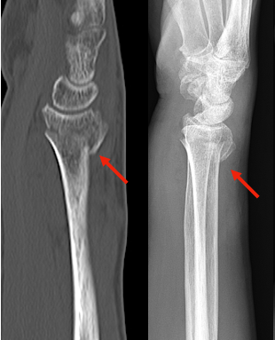
橈骨遠位端骨折は高齢者受傷しやすい手首の骨折です。転んで手をつくことが原因で起こります。若年から青壮年の方にもみられる怪我のひとつです。怪我の直後から手首周辺の腫れと痛み、場合によってはフォーク状の変形を伴います。さらに時間がたつと皮下出血や指のしびれなどが認められることもあります

骨折の転位によるフォーク状変形

✓​​骨折のギプス治療は?

橈骨遠位端骨折の治療には手術と保存治療があります。骨折部の転位(ずれ)が少ない場合は、一般的にギプスを用いた固定が行われますが、骨折部のずれが大きい場合は手術が必要です。ギプスは4〜6週間にわたり手首と指の関節を固定する必要があるため、ギプスをはずした後に関節拘縮(関節が硬くなって動きが悪くなる)や筋肉の萎縮を残しやすく、高齢者には不向きな面もあります。

ギプス固定(手指から肘まで固定する)

✓​​​創外固定 ー 新しい治療方法 

当院では合併症を軽減するため、創外固定という手術を行っております。これは従来の手術のように骨折部を直接開くことなく皮下に挿入したピンを皮膚の外で固定する方法です。2〜3泊で退院することも可能ですし、1〜2週入院のうえリハビリを毎日行うこともできます。骨折部が癒合する4週前後にピンを抜きますが、これは外来で局所麻酔で行い5分程度で終わります。

BGF創外固定器(MES社)

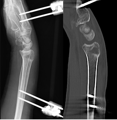
実際の手術例
(手術の傷はピン刺入部のみ)

術前CT(矢印が転位した骨片)

術後CT(整復されている)

*橈骨遠位端骨折といわれた場合は一度ご相談ください

変形性股関節症

✓​​変形性股関節症の手術とは?  

変形性股関節症は、臼蓋形成不全(骨盤の凹みが浅い)や関節リウマチ、大腿骨頭壊死、大腿骨頚部骨折などの外傷後などが 主な原因とされています。これらの疾患は、股関節の受け皿である寛骨臼の形成が不十分なために、軟骨がすり減りやすくな ることで変形性股関節症へ進行します。リハビリや投薬でも変形の進行が進み、痛みが悪化する場合は人工股関節置換術の適 応となります。

✓​​​人工股関節置換術ー最小侵襲によるアプローチ

当院では筋肉のダメージをなるべく軽減するため、最小侵襲手術を行っております。これは従来の手術に比べて手術の創と 筋肉の切開を可能な限り少なくして関節内にアプローチする方法です。したがって手術創は7ー10cmの傷にとどめ、術翌日 から関節の運動を開始することができるため、関節拘縮が起こりにくいという長所をもっています。2~3日で立位歩行練習 を開始し、1本杖歩行可能になったら2週間前後で退院となります。ご自宅が遠方の方は3~4週間入院のうえ、しっかりと リハビリを行ったうえで退院することもできます。

※ 変形性股関節症といわれた場合は一度ご相談ください

腰椎圧迫骨折

✓​​腰椎圧迫骨折とは?  

腰椎圧迫骨折は高齢者で骨が脆い方が受傷しやすい背骨の骨折です。多くは転んで尻もちをつくことが原因で起こり ますが、目立った外傷がなくても起こることもあり、”いつの間にか骨折”と呼ばれます。ギックリ腰と言われて数週 間たっても痛みが取れないとか悪化してきた場合は、骨折を念頭において当院を受診してください。レントゲンだけ ではなく、CTを撮影すると骨折が明らかになることがあります。

✓​腰椎圧迫骨折の治療は?

腰椎圧迫骨折の治療の基本は胸腰椎コルセットを用いた固定ですが、骨折部が経過中につぶれてきた場合は手術が 必要です。コルセットのみで治療する場合は、約2~3ヶ月にわたり体幹を固定する必要があるため筋肉の萎縮を残し やすく、コルセットでは潰れた腰椎変形を矯正することができないため、猫背になるような変形が残ったり、変形に 伴う痛みが残存することもあります

✓​​​​椎体形成術固定 ー 体に与える侵襲の少ない手術方法

当院では腰椎圧迫骨折に対しての手術の一つとして椎体形成術を行なっています。椎体形成術は潰れた椎体を骨セメントにより補強し、痛みを劇的に和らげる治療法です。風船で膨らませてからセメントを流すBKP(バルーン椎体形成術)を行なっています。

✓​​​​​椎体形成術の4つの大きな特徴

1. 除痛効果が非常に早い 
最大のメリットは、術後数日から痛みが大幅に改善される点です。セメントが固まることで骨の「グラつき」が止まるため、多くの患者さんが翌日には歩行を開始できます
2. 低侵襲(体への負担が少ない)
 • 傷口が小さい: 針を刺すだけなので、切開は1cmを2箇所程度で済みます
 • 短時間: 手術時間は1箇所につき30分程度です
 • 高齢者でも安心: 麻酔は全身麻酔で行われるため、痛みや怖さを感じることなく手術が可能です
3. 背骨の形態を修復できる 潰れた部分をバルーンを用いてある程度内側から膨らませて元の高さに近づけます。
これにより、「背中が丸くなる(円背)」をある程度抑制・矯正する効果が期待できます 
4. 早期退院が可能
入院期間は約4ー5日から1週間程度です。長期間の安静が必要ないため、筋力低下(廃用症候群)を防げるのが強みです。

※ ​腰椎圧迫骨折といわれた場合は一度ご相談ください

変形性ひざ関節症

✓​​​変形性ひざ関節症とは?  

変形性膝関節症は高齢者にみられる疾患です。関節のクッションである軟骨が、加齢に伴ってすり減って痛みが生じ る病気です。関節のすき間が狭くなって骨同士が擦れることで骨のへりにトゲができたり、骨が変形したりします。 多くは内側の軟骨が減っていくことが多いため、O脚変形となることが多いです。また、関節に炎症が起こるため、 膝に黄色い水がたまることがあります

✓​​変形性膝関節症の治療は?

①外用薬、内服薬などの抗炎症剤
外用薬や内服薬には短時間で効果が出やすい非ステロイド系鎮痛剤のジクロフェナク、ロキソプロフェン、インド メタシンなどがあります。
②関節内注射 - ヒアルロン酸
膝の中に直接ヒアルロン酸を注射することで炎症を抑え、関節内を滑らかにすることで痛みの軽減が期待できます。 ヒアルロン酸注射を1週ー2週間ごとに続けると効果が実感できます。
③リハビリ 
リハビリテーションにより、痛みによって緊張した筋肉をほぐす、硬くなった関節の可動域を拡大する、筋力を回 復させる、歩行やバランスなど運動機能を回復させる効果があります

✓​​​​​人工膝関節置換術 ー 最小侵襲によるアプローチ

上記のような治療を継続していても痛みが改善しない患者さんでは手術治療がすすめられます。当院では筋肉のダ メージをなるべく軽減するため、最小侵襲手術を行っております。これは従来の手術に比べて手術の傷を10ー12cm にとどめ、筋肉の切開を可能な限り少なくして関節内にアプローチするため、術翌日から関節の運動や立位歩行練習 を開始できます。リハビリを毎日行い、1本杖歩行可能になったら2週間前後で退院となります。ご自宅が遠方の方 は3~4週間入院のうえ、しっかりとリハビリを行ったうえで退院することもできます。

※ ​​変形性膝関節症といわれた場合は一度ご相談ください